




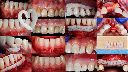
This intensive, game changing, one of a kind single day course is designed to elevate the clinician’s surgical confidence in socket grafting in both the posterior and anterior zones.
This masterclass in site development will provide you with an in-depth understanding of socket healing biology and the essential science behind socket preservation. You’ll discover why grafting at the time of extraction is crucial for maintaining ridge volume and esthetics.
This program will teach you how to extract any tooth in a simple and predictable manner using minimal instrumentation. Focus will be given on the basic principles of exodontia as well as more modern atraumatic techniques for removal of teeth. Simplified and streamlined instrumentation will be shown to allow you to extract teeth with ease and confidence.




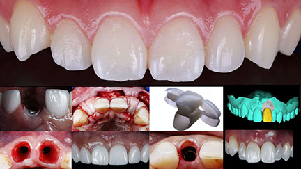
This first of its kind intensive microsurgery workshop is designed for clinicians who want to elevate their surgical skill set. Combining focused didactic sessions with high value hands-on exercises, participants will gain a deeper understanding of periodontal and implant microsurgery.
Through structured workshop hands-on exercises, participants will train their hands and eyes to work with greater accuracy, refine their manual dexterity, and improve surgical finesse. These skills honed during this course directly translate to faster healing, improved surgical outcomes, and enhanced patient satisfaction.